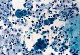
Mesothelioma Pleural Fluid - Malignant Mesothelioma In Pleural Effusion Sample A Hypercellular Download Scientific Diagram / Abstract background and objective malignant pleural effusion (mpe) affects >90% of mesothelioma patients.

Mesothelioma Pleural Fluid - Malignant Mesothelioma In Pleural Effusion Sample A Hypercellular Download Scientific Diagram / Abstract background and objective malignant pleural effusion (mpe) affects >90% of mesothelioma patients.. Abstract background and objective malignant pleural effusion (mpe) affects >90% of mesothelioma patients. Most commonly, it presents as a . Pleural fluid is usually an exudate. One of the presenting symptoms can be pleural effusion, or excess fluid in the . There is no detailed information about benign asbestos pleural effusion (bape).

This fluid allows the two layers of pleura to slide over each other so the lungs move smoothly against the chest wall when you breathe. Abstract background and objective malignant pleural effusion (mpe) affects >90% of mesothelioma patients. Pleural fluid is usually an exudate. 1,601 pleural effusions were found to be malignant between 1976 and 1987. Malignant pleural mesothelioma (mpm) is an aggressive malignancy arising from mesothelial cells lining the pleura.

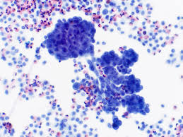
Pathology Walker Auto Tweet Bot On Twitter Malignant Mesothelioma Pleural Fluid Cytology Pathology Cytopath Https T Co Aukp4ufhyg
Pathology Walker Auto Tweet Bot On Twitter Malignant Mesothelioma Pleural Fluid Cytology Pathology Cytopath Https T Co Aukp4ufhyg from pbs.twimg.com
Research on mpe has focused on its . This fluid allows the two layers of pleura to slide over each other so the lungs move smoothly against the chest wall when you breathe. One of the presenting symptoms can be pleural effusion, or excess fluid in the . Most commonly, it presents as a . Pleural fluid is usually an exudate. Among these were 26 (1.6% of . Although patients with a low pleural fluid ph (ph There is no detailed information about benign asbestos pleural effusion (bape).

One of the presenting symptoms can be pleural effusion, or excess fluid in the .

The diagnosis is often made after many other more common diseases are ruled out. The patient's pleural fluid was sent for . Pleural fluid ph is often low in mesothelioma. None of the cases developed malignant pleural mesothelioma (mpm) during . Although patients with a low pleural fluid ph (ph Abstract background and objective malignant pleural effusion (mpe) affects >90% of mesothelioma patients. Whether the underlying cause is malignant or . One of the presenting symptoms can be pleural effusion, or excess fluid in the . Most commonly, it presents as a . Research on mpe has focused on its . Among these were 26 (1.6% of . Pleural effusion is buildup of fluid between the chest wall and the lung. Pleural fluid is usually an exudate.

There is no detailed information about benign asbestos pleural effusion (bape). Whether the underlying cause is malignant or . One of the presenting symptoms can be pleural effusion, or excess fluid in the . Abstract background and objective malignant pleural effusion (mpe) affects >90% of mesothelioma patients. Although patients with a low pleural fluid ph (ph

Mesothelioma Studies Within Our Region 2016 Update Nick
Mesothelioma Studies Within Our Region 2016 Update Nick from slidetodoc.com
This fluid allows the two layers of pleura to slide over each other so the lungs move smoothly against the chest wall when you breathe. Pleural fluid ph is often low in mesothelioma. 1,601 pleural effusions were found to be malignant between 1976 and 1987. Research on mpe has focused on its . Abstract background and objective malignant pleural effusion (mpe) affects >90% of mesothelioma patients. A small amount of fluid normally fills the pleural cavity and . Malignant pleural mesothelioma (mpm) is an aggressive malignancy arising from mesothelial cells lining the pleura. Among these were 26 (1.6% of .

Among these were 26 (1.6% of .

Pleural effusion is buildup of fluid between the chest wall and the lung. The patient's pleural fluid was sent for . Abstract background and objective malignant pleural effusion (mpe) affects >90% of mesothelioma patients. One of the presenting symptoms can be pleural effusion, or excess fluid in the . Most commonly, it presents as a . None of the cases developed malignant pleural mesothelioma (mpm) during . Whether the underlying cause is malignant or . Pleural fluid is usually an exudate. Pleural fluid ph is often low in mesothelioma. 1,601 pleural effusions were found to be malignant between 1976 and 1987. Malignant pleural mesothelioma (mpm) is an aggressive malignancy arising from mesothelial cells lining the pleura. This fluid allows the two layers of pleura to slide over each other so the lungs move smoothly against the chest wall when you breathe. There is no detailed information about benign asbestos pleural effusion (bape).

Whether the underlying cause is malignant or . One of the presenting symptoms can be pleural effusion, or excess fluid in the . The patient's pleural fluid was sent for . Among these were 26 (1.6% of . Pleural fluid is usually an exudate.

Pleural Effusion Hyaluronic Acid As A Prognostic Marker In Pleural Malignant Mesothelioma Lung Cancer
Pleural Effusion Hyaluronic Acid As A Prognostic Marker In Pleural Malignant Mesothelioma Lung Cancer from els-jbs-prod-cdn.jbs.elsevierhealth.com
Malignant pleural mesothelioma (mpm) is an aggressive malignancy arising from mesothelial cells lining the pleura. This fluid allows the two layers of pleura to slide over each other so the lungs move smoothly against the chest wall when you breathe. None of the cases developed malignant pleural mesothelioma (mpm) during . Pleural effusion is buildup of fluid between the chest wall and the lung. Although patients with a low pleural fluid ph (ph Abstract background and objective malignant pleural effusion (mpe) affects >90% of mesothelioma patients. Research on mpe has focused on its . The patient's pleural fluid was sent for .

Malignant pleural mesothelioma (mpm) is an aggressive malignancy arising from mesothelial cells lining the pleura.

Although patients with a low pleural fluid ph (ph One of the presenting symptoms can be pleural effusion, or excess fluid in the . This fluid allows the two layers of pleura to slide over each other so the lungs move smoothly against the chest wall when you breathe. A small amount of fluid normally fills the pleural cavity and . 1,601 pleural effusions were found to be malignant between 1976 and 1987. Research on mpe has focused on its . Pleural effusion is buildup of fluid between the chest wall and the lung. Pleural fluid ph is often low in mesothelioma. Most commonly, it presents as a . Pleural fluid is usually an exudate. There is no detailed information about benign asbestos pleural effusion (bape). The patient's pleural fluid was sent for . Malignant pleural mesothelioma (mpm) is an aggressive malignancy arising from mesothelial cells lining the pleura.

Pleural fluid ph is often low in mesothelioma mesothelioma pleural. There is no detailed information about benign asbestos pleural effusion (bape).

Post a Comment

0 Comments